浙江金华市吉力医疗器械有限公司

石蜡切片常见问题诱因及解决方案

 二维码 161

石蜡切片常见问题诱因及解决方案


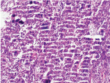
问:切片出现叠加褶皱怎么办?


答:此类情况主要分为两种,一种是切片时出现问题,譬如组织相对较硬,其中含有钙化组织,或者是切片时刀头不够锋利,从而导致褶皱的产生;蜡块未完全冷却时质地较软,切片时依旧容易出现褶皱。另一种情况是在漂片时水温不够,切下的组织切片在漂洗时无法完全展开,也会导致褶皱的形成。


解决方案刀头不够锋利需要重新更换刀片,漂片的水温一般需要需要比石蜡的熔点更低10℃,也需要调节漂片时间,可以让切片完整舒展。如果是组织中原先就会出现部分钙化等,则是难以避免。


图片


问:切片出现分散破裂怎么办?


答:此类情况主要分为两种,一种是在漂片时水温偏高,从而导致病理切片散开以至于进一步破裂;另一种情况是由于切片组织中本身脂肪含量偏高脱水时未完全,尤其是在温水中,脂肪更加容易散开。


解决方案需要及时调整漂片时的水温,让水温可以适合切片漂开展平,但又不会过热导致扩大破裂,相对的在切片中脂肪组织含量较多时,需要缩短漂片的时间,如果切片极易破裂,也可以为了保证组织完整性从而不漂水



问:切片出现明显刀痕怎么办?


答:此类情况主要是因为在进行组织切片时组织中含有质地偏硬的成分,从而导致了切片刀崩出缺口,进而镜下观察组织切片中会出现类似于长条道路状缺损纹路


图片


解决方案此类情况出现大多需要重新更换刀位,同样的如果是组织中出现一些钙化的病灶以及一些淋巴结组织,这些刀痕就会变得相对无法避免,如果在不影响染色观察以及病理诊断的情况下,可以适当包容





问:切片出现划痕空洞怎么办?


答:此类情况主要是由于在对于组织切割的时候速度过快,未完全对准,导致切片的横截面不平整,显微镜下观察会出现一些或大或小的组织空洞。


解决方案在组织切片切割时需要控制进刀的幅度,粗修时建议对于厚度设置为10μm,精修的时候再调整使得蜡块切面光滑,这样可以减少空缺孔洞以及小白点和毛糙的出现。



问:切片出现缺失遗漏怎么办?


答:此类情况主要分为两种,一种是在包埋盒中对组织进行包埋时没有将组织完全按平,这样就会导致在切片时没有切到最大的切面,另一种情况就是在对于组织进行取样时没有平整取样,同样会导致切片出现缺失遗漏,进而影响下一步的实验。


解决方案组织处理各个步骤需要尽可能规范操作,组织取材时需要切面平整,组织包埋时需要将每一块组织都要尽可能按平,每一次进刀时需要观察蜡块有没有暴露出最大的切面,如果效果达不到理想情况,可以对组织重新进行一次包埋。



问:切片出现明显跳片怎么办?


答:此类情况主要是因为样本组织在蜡块包埋时有多余蜡块,导致整个包埋盒与组织连接时不够紧密,其中产生部分空心情况,从而导致在染色后悔出现不同过深或过浅区域。


解决方案在出现此类情况需要首先检查切片仪器是否有完全卡紧,同时也需要检查切片机刀架是否错位,如果是因为包埋时未到位导致不牢固甚至是空心的蜡块,需要重新进行组织包埋。遇到组织比较硬的情况需要适当降低转速,让蜡块适当的回温后再重新切片。


图片


问:切片出现裂纹碎纹怎么办?


答:此类情况一般会出现在样本组织是器官内膜以及一些淋巴组织中。导致该情况发生的原因会集中体现在蜡块切片的温度低于预期温度,从而导致组织会相对脆化,切片时没有控制好速度,切片过快,也会导致切片碎裂。


解决方案切片时将操作台温度调节至0进行切片,同时降低切片的速度,可有效减少出现裂纹碎纹的情况,如果条件允许,同样可以使用0℃的冰块作为蜡块的冷却媒介,也可以有效减少此类情况发生。



问:切片出现发白难切怎么办?


答:此类情况是因为组织没有脱水完全,或者说是脱水状况不好,从而导致石蜡没有全部沁入组织内部,所以在下一步切片时会因为没有石蜡作为支撑物导致切片困难


解决方案此类情况出现首先要考虑的就是组织的新鲜程度,我们推荐组织在离体半小时内就需要切开进行固定,固定时间根据标本大小控制在8-16h之间,建议标本体积最好不超过1cm3,具体脱水情况可以根据实验自行确定。



问:切片出现透水反渗


答:此类情况主要表现在蜡块放置时间超过一定时间就会出现切面膨胀表面泛白,导致切片报废。可能是由于组织脱水时不完全,会有部分水进行反渗


解决方案此类情况大多数是因为蜡块在融化的冰面上放置过久,可以在切片前几分钟再将蜡块放置在冰面上进行冷却,可以极大程度避免该情况发生。


图片



问:切片出现蜡块开裂怎么办


答:此类情况主要是由于蜡块在降温冷却时温度下降过快,内部石蜡其实还未完全冷却,在这种情况下直接就把模块撬开的话,就会导致蜡块开裂


解决方案需要从两点来分析解决问题,第一是检查石蜡品质问题检查是品质问题需要更换产品,第二是石蜡冷却时不要直接快速降温,尽量让石蜡自然冷却并且完全凝固后再进一步分离,可以有效减少此类情况发生。

图片


分享到:
在线地图
浙江省金华市金衢路2099号
+86 18657978844(金先生)
+86 18869993576(江女士)
+86 18868450097(俞女士)
jin@jhjili.com
joyce@jhjili.com
ybq@jhjili.com